MAX
Подпишись
стань автором. присоединяйся к сообществу!
11 марта 45
16

В России предложили новый подход к лечению саркомы Юинга, устойчивой к химиотерапии

© naked-science.ru

Ученые Сеченовского Университета разработали новую систему доставки лекарственных препаратов, способную усиливать противоопухолевый эффект и воздействовать на опухолевые клетки, нечувствительные к стандартной химиотерапии при саркоме Юинга.

Саркома Юинга — агрессивная злокачественная опухоль, которая чаще всего развивается у детей и подростков и характеризуется высоким риском рецидивов. Одной из ключевых проблем лечения считается формирование лекарственной устойчивости. Для ее преодоления исследователи предложили использовать микрочастицы на основе лактоферрина — природного белка, обладающего высокой биосовместимостью и способностью взаимодействовать с опухолевыми клетками. Производителем лактоферрина выступил Институт Биологии Гена РАН, который в консорциуме с Сеченовским Университетом разрабатывает препараты для иммунной инженерии, 3D-биопечати и клеточных технологий. Результаты исследования опубликованы в журнале Nanomedicine: Nanotechnology, Biology and Medicine.

Лактоферрин ученые объединили с хондроитинсульфатом, что позволило создать стабильную систему доставки, в которую они загрузили ингибитор карбоангидразы II — экспериментальное противоопухолевое соединение OX72. Такая комбинация обеспечила защиту препарата и его направленное высвобождение в опухолевой ткани.

«Изначально мы разрабатывали препараты на основе лактоферрина для задач регенерации кожи. В процессе создания систем пролонгированной доставки лактоферрина в ткани стало очевидно, что эти системы могут быть использованы не только для самого белка, но и для адресной доставки лекарственных препаратов. Нам показалась перспективной идея применить созданную нами разработку в онкологии», — пояснил руководитель Центра инновационных коллагеновых разработок Артем Антошин.

Эксперименты на клеточных культурах показали, что микрочастицы обеспечивают контролируемое, в том числе pH-зависимое, высвобождение препарата в течение суток и усиливают его цитотоксический эффект. Система продемонстрировала эффективность как в отношении стандартных клеточных линий саркомы Юинга, так и в отношении клеток, устойчивых к доксорубицину — одному из основных препаратов химиотерапии.

Механистический анализ показал, что комбинированное действие микрочастиц и OX72 запускает в опухолевых клетках ферроптоз — форму программируемой клеточной гибели, связанную с нарушением обмена железа и развитием окислительного стресса. В отличие от апоптоза, этот механизм сохраняется даже в опухолях с выраженной лекарственной резистентностью.

«Саркома Юинга часто перестает отвечать на стандартную химиотерапию. Мы показали, что использование лактоферриновых микрочастиц в сочетании с ингибитором карбоангидразы позволяет активировать альтернативный механизм гибели опухолевых клеток — ферроптоз. Это создает основу для разработки новых подходов к терапии лекарственно-устойчивых форм заболевания», — отметил ведущий научный сотрудник Института регенеративной медицины Сеченовского Университета профессор Илья Уласов.

Дополнительное преимущество предложенной системы — селективность: лактоферрин эффективно взаимодействует с рецепторами, которые часто избыточно экспрессируются на поверхности опухолевых клеток, что способствует накоплению препарата в зоне поражения.

Исследователи подчеркивают значимость полученных результатов для дальнейших исследований в области терапии саркомы Юинга.

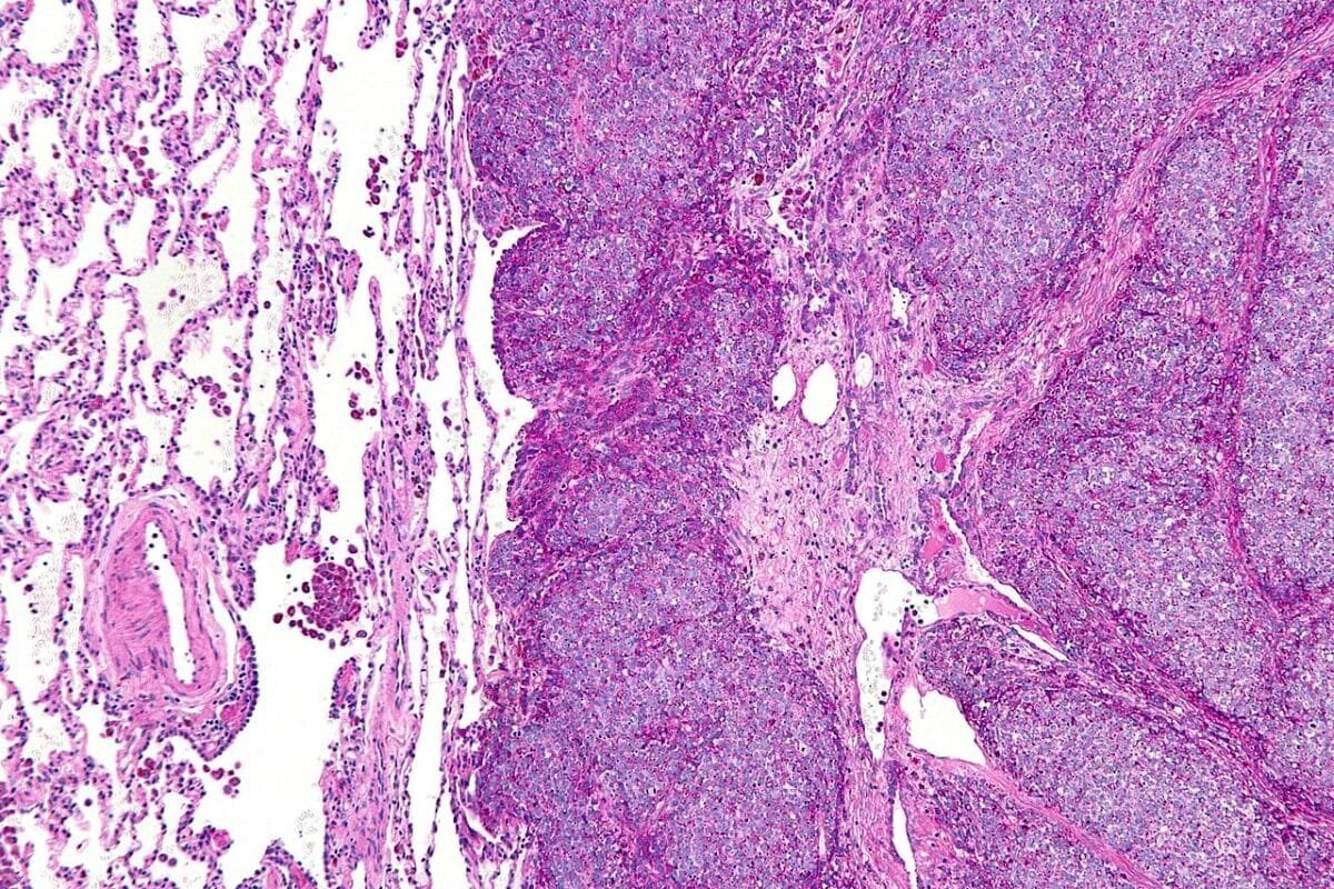
На фото: Микрография метастатической саркомы Юинга (справа на изображении) в нормальном легком (слева на изображении) / © Nephron, Wikipedia

Кстати, а вы знали, что на «Сделано у нас» статьи публикуют посетители, такие же как и вы? И никакой премодерации, согласований и разрешений! Любой может добавить новость. А лучшие попадут в наш Телеграм @sdelanounas_ru. Подробнее о том как работает наш сайт здесь👈

Источник: naked-science.ru

Комментарии 1

Для комментирования необходимо войти на сайт